Addoor Sticky

Investigador del IBBTEC lidera nuevos hallazgos en torno a cómo se genera un cáncer más agresivo

CANTABRIA.-Investigador del IBBTEC lidera nuevos hallazgos en torno a cómo se genera un cáncer más agresivo

El investigador Ramón y Cajal del Instituto de Biomedicina y Biotecnología de Cantabria (IBBTEC), Fernando Calvo, lidera nuevos hallazgos en torno a cómo se genera un cáncer más agresivo, publicados hoy por la revista científica Nature Communications.

La revista publica el estudio 'Dickkopf-3 links HSF1 and YAP/TAZ signalling to control aggressive behaviours in cancer-associated fibroblasts'. El trabajo se centra en investigar y describir los procesos que regulan la activación patológica de fibroblastos asociados a cáncer (CAF) y cómo contribuyen al desarrollo tumoral.

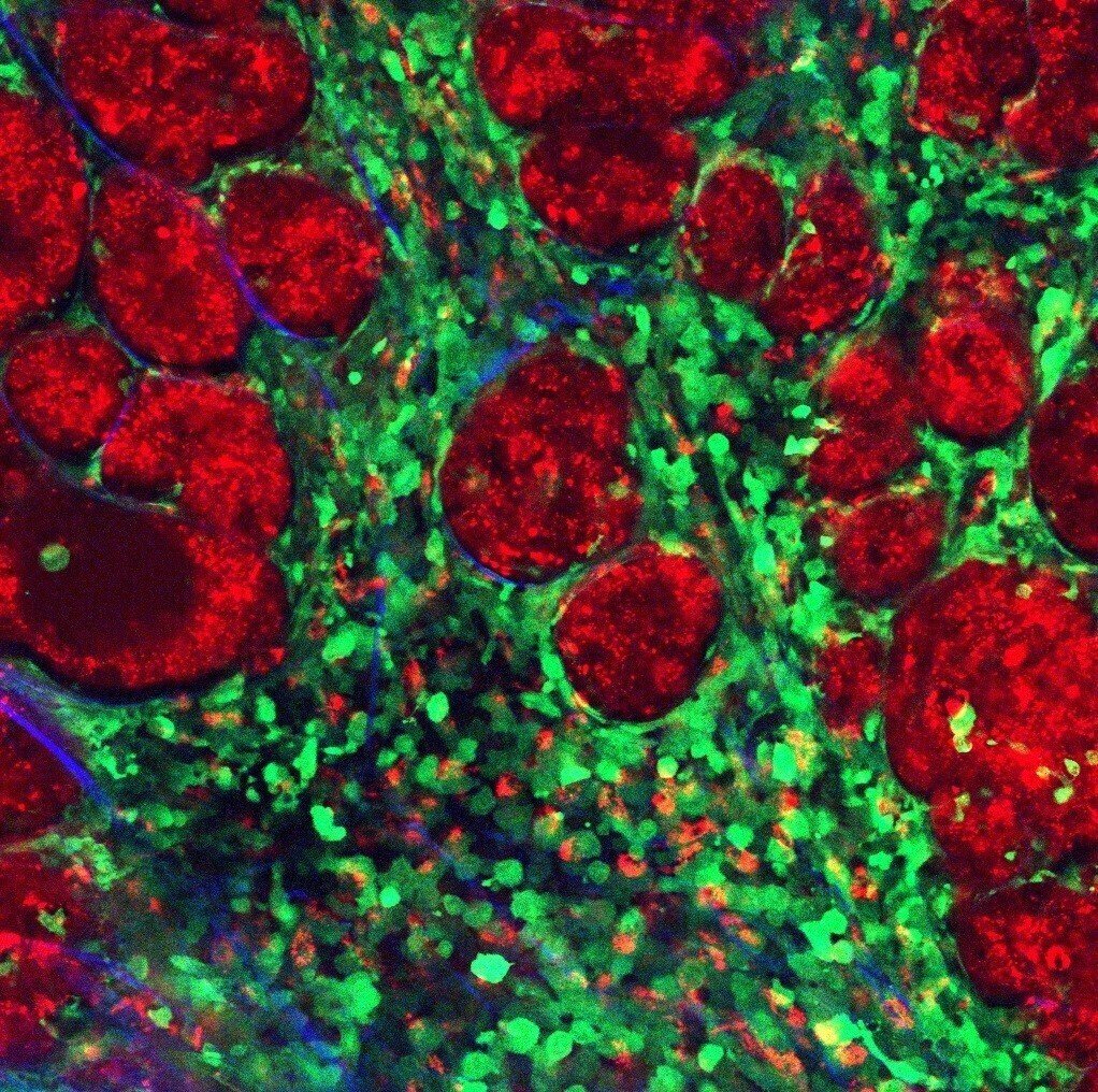
Según explica el investigador del IBBTEC --centro mixto de investigación integrado por la Universidad de Cantabria, el Consejo Superior de Investigación Científicas (CSIC) y el Gobierno de Cantabria, a través de SODERCAN--, "el cáncer no está solo compuesto de células cancerígenas, sino que, como en cualquier otro órgano, hay también una amplia proporción de células "normales", como son las células endoteliales que forman vasos sanguíneos que nutren al tumor; fibroblastos, que generan estructuras que mantienen los tejidos y los órganos; y células inmunes que patrullan los órganos y lo defienden de agentes patológicos, entre otras".

Sin embargo, añade Calvo, "estas células normales están generalmente corrompidas por el cáncer y no desempeñan con normalidad su función. Al contrario, se sabe que pueden participar en procesos muy importantes del cáncer como el crecimiento, la invasión, la metástasis o la resistencia a terapias y es por ello que son objeto de numerosas e importantes investigaciones".

De hecho, el grupo de investigación Microambiente Tumoral se ha especializado en entender cómo y por qué esos fibroblastos asociados a cáncer o CAFs son corrompidos y cómo participan en el desarrollo tumoral. "La idea es que si logramos entender cómo funcionan, podamos identificar estrategias para modular su acción y que ello repercuta en mejores terapias para los pacientes", adelanta Calvo.

En concreto, en el estudio que se ha publicado hoy en Nature Communications "hemos identificado un nuevo factor llamado DKK3 que regula la capacidad de los CAFs de promover el crecimiento cancerígeno y la invasión tumoral en distintos tipos de cáncer, como cáncer de mama, de ovarios y de colon. Este factor, cuando está expresado en CAFs, es capaz de identificar pacientes que van a desarrollar la enfermedad más rápido y que van a tener tumores más agresivos", explica.

Añade el investigador que "hemos sido capaces de descifrar cómo opera DKK3 a nivel molecular y la causa de su desregulación, esta información nos permitirá investigar nuevas estrategias terapéuticas en el futuro. Estamos muy interesados en validar nuestras observaciones en un contexto terapéutico. En otras palabras, queremos investigar si modular la actividad de DKK3 en CAFs es capaz de mejorar la eficacia de terapias actuales, con el consecuente beneficio en pacientes".

El estudio ha contado con el apoyo de la agencia Worldwide Cancer Research, que financió gran parte del mismo, y ha sido posible gracias a "la generosidad de pacientes que donaron material clínico indispensable para llevarlo a cabo", señala Calvo, quien se incorporó al IBBTEC en marzo de 2018 tras haber desarrollado su investigación como jefe de grupo del Institute of Cancer Research en Londres, desde 2014.